04-28-2020
真后悔把三个烂牙根拔了,刚听说残根留着也有镶牙的可能
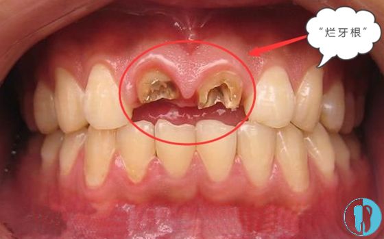
上个月有个烂掉的牙根隐隐作疼,就到门口的诊所拔掉了,顺带把另外两个残根也拔了。昨天去口腔医院咨询镶牙的事,才听张主任说:即使是龋坏较重的“腐烂牙根”,如果没松动,要尽量保留!

因为是远方亲戚,给讲的特别仔细。当完全弄懂内情后,真是后悔莫及呀!
那么,发黑腐烂的牙根是该拔掉还是留下好?张主任是这么说的:
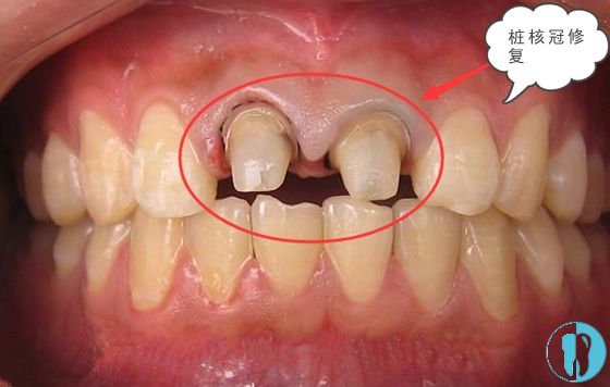
牙根能留就留,有些只是表面发黑腐烂,只要没有出现疼痛,说明还没有伤及牙神经。这时候只要去除表面的腐烂物质,清理干净就可以做桩冠修复了。
因为保留健康牙根有利于假牙在口腔里的固定。

而且牙根与牙槽骨之间的牙周膜中有许多感觉神经,就是能将食物的软硬、牙齿受力大小这些信息传递给大脑,大脑据此调整咬合力量的大小。
如果把这些还可做修复的牙根拔掉,不但不利于镶牙,还可能造成牙周组织病变。

但是呢,有些残烂牙根如果长期不拔的话,会是一颗“****”原因是这样的:
如果是发炎疼痛的残根(根管治疗不起作用的情况下),或者是短小且松动的牙根,还有就是经常磨到口腔粘膜的残根残冠,必须拔掉,以免后患无穷。

对于这些作用已经不大,没有治疗意义的牙根,长期置之不理,还有可能会使腐烂或炎症殃及到旁边的牙齿,那就得不偿失了。

所以,回想起来,我原本那两颗不疼不痒的牙根,极有可能还有作用,不该盲目拔掉。哎,后悔晚矣,还是考虑好做哪种假牙吧。
原文链接 http://www.waasee.com/news/80.html

因为是远方亲戚,给讲的特别仔细。当完全弄懂内情后,真是后悔莫及呀!
那么,发黑腐烂的牙根是该拔掉还是留下好?张主任是这么说的:
牙根能留就留,有些只是表面发黑腐烂,只要没有出现疼痛,说明还没有伤及牙神经。这时候只要去除表面的腐烂物质,清理干净就可以做桩冠修复了。
因为保留健康牙根有利于假牙在口腔里的固定。

而且牙根与牙槽骨之间的牙周膜中有许多感觉神经,就是能将食物的软硬、牙齿受力大小这些信息传递给大脑,大脑据此调整咬合力量的大小。
如果把这些还可做修复的牙根拔掉,不但不利于镶牙,还可能造成牙周组织病变。

但是呢,有些残烂牙根如果长期不拔的话,会是一颗“****”原因是这样的:
如果是发炎疼痛的残根(根管治疗不起作用的情况下),或者是短小且松动的牙根,还有就是经常磨到口腔粘膜的残根残冠,必须拔掉,以免后患无穷。

对于这些作用已经不大,没有治疗意义的牙根,长期置之不理,还有可能会使腐烂或炎症殃及到旁边的牙齿,那就得不偿失了。

所以,回想起来,我原本那两颗不疼不痒的牙根,极有可能还有作用,不该盲目拔掉。哎,后悔晚矣,还是考虑好做哪种假牙吧。
原文链接 http://www.waasee.com/news/80.html


171